乙二醇中毒致急性肾衰竭一例
发布时间:2016-09-26
发布时间:2016-01-13
摘要:患者误服汽车防冻液3 d,尿少1d入院。先后行2次血液灌流,3次血液滤过,此后3次/周血液透析治疗。复查肾脏病理可见部分小管再生,管内蓝紫色结晶颗粒沉积明显减少。治疗5个月后患者肾功能基本恢复正常。
1、临床资料
【患者病情】
主诉:误服汽车防冻液3 d,尿少1d于2010年11月20日入院。
现病史:患者3d 前误服汽车防冻液约300 ml后出现头晕、呕吐,2h后于当地医院洗胃,1d后出现昏迷,经过2次
血液灌流
治疗后意识恢复,但出现尿量减少(50ml/24h)、肾衰竭,转入本院治疗。入院时意识清,P54次/min,BP124/54 mmHg。
【检查情况】
实验室检查:血WBC12.5×109/L,尿蛋白2+,血BUN 15.9 mmol/L,Scr 671.0 μmol/L,血钾3.26 mmol/L,血钙1.93 mmol/L。
免疫荧光检查结果示:IgG、IgA、IgM、C3、C4、C1q、FRA、HBsAg均阴性,病理诊断:急性肾小管坏死。见图1A,图1B。12月3 日患者尿量增多(约2000ml/24 h),逐停止透析。
【诊疗情况】
入院诊断:乙二醇中毒;急性肾衰竭。
入院后治疗方案:
入院后给予补液、利尿、维生素B6、氯化钾等药物治疗,先后行2次
血液灌流
,3次血液滤过,此后3次/周血液透析治疗。
【治疗结果】
病情归转
11月24日行第1次肾活检。(见图1A,图1B)
12月11日实验室检查:尿蛋白阴性,血BUN 10.3 mmol/L,Scr429 μmol/L。第2次肾活检,免疫荧光结果及病理诊断同前。(见图1C,图1D)
12 月27 日检查血BUN 7.9 mmol/L,Scr 187 μmol/L,患者出院。2011年4月门诊复查肾功能基本正常。

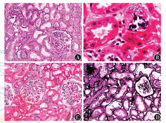
图1. 患者2次肾脏病理检查结果
注:A、B:第1次肾活检;C、D:第2次肾活检;A:小管上皮细胞颗粒、空泡变性,刷状缘广泛脱落,管腔扩张,小管腔内见单核淋巴细胞浸润,肾间质水肿(PAS×200);B:小管内见较多蓝紫色结晶颗粒沉积(HE×400);C:小管上皮细胞刷状缘脱落,管腔扩张,可见部分小管再生(HE×200);D:小管内蓝紫色结晶颗粒沉积明显减少(PASM×200)
2、讨论
普通防冻液中乙二醇含量约30%~70%,人一次性口服致死剂量约为1.4 ml/kg。乙二醇口服后可迅速被吸收,经肝脏代谢为乙醇醛、乙醇酸、乙醛酸,最终主要代谢产物为草酸。
中间代谢产物和代谢性酸中毒可抑制中枢神经系统,对人的心、肺、肾等脏器有直接毒性作用。中毒表现大致分为3 个阶段:中枢神经系统症状、心肺症状和急性肾衰竭。
该患者曾出现明显的中枢神经系统症状,于中毒后第3 天出现急性肾衰竭,经治疗5 个月后肾功能基本恢复。总结我们的治疗经验如下:
(1)早期洗胃,促进毒物排出,防止进一步吸收。
(2)及时行
血液净化治疗
,包括尽早行
血液灌流
及血液滤过,可有效清除乙二醇和其毒性代谢产物以及防冻液中的其他毒性成分,迅速纠正各种并发症,防治急性肾衰竭。
(3)补液及利尿,及时给予补液、利尿剂可促使乙二醇的代谢产物(特别是草酸钙结晶)尽早排泄,以减轻肾损害。
肾脏是乙二醇的主要靶器官,乙二醇代谢后在体内形成草酸钙对肾小管上皮细胞线粒体有毒性作用,导致细胞死亡,钙盐结晶还可导致肾小管堵塞,从而导致急性肾衰竭。
本例患者主要病理改变为急性肾小管坏死,小管腔内见单核淋巴细胞浸润,肾间质水肿,同时可见蓝紫色结晶颗粒沉积,考虑为草酸钙结晶。28d后肾病理检查见肾小管再生,蓝色钙盐结晶明显减少,说明肾损害逐渐恢复。
与其他病因所致的急性肾小管坏死相比,肾小管中蓝紫色钙盐结晶颗粒沉积可能是该病的特异性肾病理改变。
来源:中华肾脏病杂志2014年2月第30卷第2期 文章作者:高秋爽 贺发贵 马路 何志军 陈光磊
摘要:患者误服汽车防冻液3 d,尿少1d入院。先后行2次血液灌流,3次血液滤过,此后3次/周血液透析治疗。复查肾脏病理可见部分小管再生,管内蓝紫色结晶颗粒沉积明显减少。治疗5个月后患者肾功能基本恢复正常。
1、临床资料
【患者病情】
主诉:误服汽车防冻液3 d,尿少1d于2010年11月20日入院。
现病史:患者3d 前误服汽车防冻液约300 ml后出现头晕、呕吐,2h后于当地医院洗胃,1d后出现昏迷,经过2次
血液灌流
治疗后意识恢复,但出现尿量减少(50ml/24h)、肾衰竭,转入本院治疗。入院时意识清,P54次/min,BP124/54 mmHg。
【检查情况】
实验室检查:血WBC12.5×109/L,尿蛋白2+,血BUN 15.9 mmol/L,Scr 671.0 μmol/L,血钾3.26 mmol/L,血钙1.93 mmol/L。
免疫荧光检查结果示:IgG、IgA、IgM、C3、C4、C1q、FRA、HBsAg均阴性,病理诊断:急性肾小管坏死。见图1A,图1B。12月3 日患者尿量增多(约2000ml/24 h),逐停止透析。
【诊疗情况】
入院诊断:乙二醇中毒;急性肾衰竭。
入院后治疗方案:入院后给予补液、利尿、维生素B6、氯化钾等药物治疗,先后行2次 血液灌流 ,3次血液滤过,此后3次/周血液透析治疗。
【治疗结果】
病情归转
11月24日行第1次肾活检。(见图1A,图1B)
12月11日实验室检查:尿蛋白阴性,血BUN 10.3 mmol/L,Scr429 μmol/L。第2次肾活检,免疫荧光结果及病理诊断同前。(见图1C,图1D)
12 月27 日检查血BUN 7.9 mmol/L,Scr 187 μmol/L,患者出院。2011年4月门诊复查肾功能基本正常。

图1. 患者2次肾脏病理检查结果
注:A、B:第1次肾活检;C、D:第2次肾活检;A:小管上皮细胞颗粒、空泡变性,刷状缘广泛脱落,管腔扩张,小管腔内见单核淋巴细胞浸润,肾间质水肿(PAS×200);B:小管内见较多蓝紫色结晶颗粒沉积(HE×400);C:小管上皮细胞刷状缘脱落,管腔扩张,可见部分小管再生(HE×200);D:小管内蓝紫色结晶颗粒沉积明显减少(PASM×200)
2、讨论
普通防冻液中乙二醇含量约30%~70%,人一次性口服致死剂量约为1.4 ml/kg。乙二醇口服后可迅速被吸收,经肝脏代谢为乙醇醛、乙醇酸、乙醛酸,最终主要代谢产物为草酸。
中间代谢产物和代谢性酸中毒可抑制中枢神经系统,对人的心、肺、肾等脏器有直接毒性作用。中毒表现大致分为3 个阶段:中枢神经系统症状、心肺症状和急性肾衰竭。
该患者曾出现明显的中枢神经系统症状,于中毒后第3 天出现急性肾衰竭,经治疗5 个月后肾功能基本恢复。总结我们的治疗经验如下:
(1)早期洗胃,促进毒物排出,防止进一步吸收。
(2)及时行 血液净化治疗 ,包括尽早行 血液灌流 及血液滤过,可有效清除乙二醇和其毒性代谢产物以及防冻液中的其他毒性成分,迅速纠正各种并发症,防治急性肾衰竭。
(3)补液及利尿,及时给予补液、利尿剂可促使乙二醇的代谢产物(特别是草酸钙结晶)尽早排泄,以减轻肾损害。
肾脏是乙二醇的主要靶器官,乙二醇代谢后在体内形成草酸钙对肾小管上皮细胞线粒体有毒性作用,导致细胞死亡,钙盐结晶还可导致肾小管堵塞,从而导致急性肾衰竭。
本例患者主要病理改变为急性肾小管坏死,小管腔内见单核淋巴细胞浸润,肾间质水肿,同时可见蓝紫色结晶颗粒沉积,考虑为草酸钙结晶。28d后肾病理检查见肾小管再生,蓝色钙盐结晶明显减少,说明肾损害逐渐恢复。
与其他病因所致的急性肾小管坏死相比,肾小管中蓝紫色钙盐结晶颗粒沉积可能是该病的特异性肾病理改变。
来源:中华肾脏病杂志2014年2月第30卷第2期 文章作者:高秋爽 贺发贵 马路 何志军 陈光磊
