典型病例 | 任性的 “三不”人员郑大叔如何踏平“坎坷之路”?
发布时间:2024-06-06

故事从2010年开始
任性的郑大叔
不忌口、不限水、不规律服药的“三不”人员
No.1
主诉
维持血透10年余
多关节痛半年余,下肢疼痛伴行走困难
No.2
基本资料
男性,68岁,身高166cm,干体重62kg
No.3
现病史
20年前诊断为慢性肾小球肾炎,尿蛋白2+~4+
10年余前因浮肿、尿少,血肌酐1173umol/L,血液透析tiw每次4h
半年前出现腕关节、肩关节疼痛,下肢疼痛伴行走困难
No.4
既往史
高血压病10余年,血压最高达189/110mmHg,近1年来血压波动在93-110/56-75mmHg之间,常合并透中低血压,暂停降压药物。否认糖尿病病史。无抽烟、酗酒史。
No.5
体格检查
血压103/62mmHg
Tinel征(+) Phalen征(+) 心肺腹(-)
脊柱无压痛,双下肢不肿
No.6
血常规、生化、骨代谢指标
血常规
- WBC 4.68X109/L
- Hb 104g/L
- CRP 15.3mg/L
生化
- Cr 1173umol/L
- BUN 34.4mmol/L
- Ca 2.36mmol/L
- P 2.10mmol/L
- iPTH 25.42pmol/L
- β2-微球蛋白 58.7mg/L
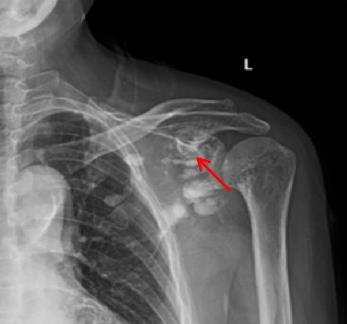
No.7
X线
2


1


No.8
初步印象
老年男性,维持血透10年余
高β2-微球蛋白血症
腕关节、肩关节等多关节疼痛,下肢疼痛伴行走困难
问题
患者多关节及下肢疼痛的原因?
应对、治疗方案?
β2-MG与尿毒症
尿毒症患者的β2-MG显著升高,较正常人升高 20 倍甚至更高。
DRA(透析相关淀粉样变)是长期透析患者的一种严重并发症,是患者发生关节疼痛以及运动受限的主要原因,严重影响患者生存质量。
高β2-MG血症的临床表现
①腕管综合征
②破坏性脊柱关节病变
③囊性骨损害
DRA的诊断
诊断各型淀粉样变组织学检查是金标准。
对关节积液患者可行滑液抽吸术,对滑膜碎片做刚果红染色。
DRA 的诊断有赖于放射学改变和组织学检查。但是有创的组织学检查,临床上很难做到。
目前认为,如果患者出现5个表现包括:腕管综合征、多关节痛、板机指、破坏性脊柱关节病、骨囊肿等上述临床表现,病理诊断不是必须要做的。
No.9
诊断
1. 慢性肾脏病5期 维持血透 肾性贫血 高β2-微球蛋白血症 透析相关淀粉样变 (DRA) 高磷血症
2. 慢性肾小球肾炎
3. 高血压病3级 很高危
No.10
治疗方案
纠正贫血
透析
降压
罗沙司他 120mg tiw
降磷
碳酸镧
BHD 3次/周 4h/次
近1年来血压较低,已停用降压药
血液净化标准操作规程(2021版)
终末期肾脏疾病(尿毒症),特别是合并顽固性瘙痒、难治性高血压、高β2微球蛋白血症、继发性甲状旁腺功能亢进、周围神经病变等患者。每周1次HA树脂血液灌流器与血液透析器串联治疗2h,可显著提高维持性血液透析患者的血清iPTH和β2微球蛋白的清除率,改善临床症状。
上海专家共识
血β2-MG持续>30mg/L,或合并腕管综合征等透析淀粉样变,建议应开始行HP治疗。
并发症 建议HP治疗频次
严重尿毒症相关皮肤瘙痒 每2周1或2次
严重尿毒症相关睡眠障碍 PSQI≥10分 每周1次;
5分<PSQI<10分 每2周1或2次
蛋白质能量消耗 每周1次
微炎症状态 每2周1或2次
严重继发性甲状旁腺功能亢进 每周1次
严重高β2-MG血症 每周1~3次
难治性高血压 每2周1或2次
不安腿综合征(RLS) 每周1次
尿毒症周围神经病变 每周1次
No.11
药物治疗
DRA治疗方案
血液灌流+血液透析
布洛芬1粒 bid
强的松 5mg qd
No.12
透析方案
BHD 2次/周,HP 1次/周(HA130)


低磷饮食
HA开始治疗
间断碳酸镧治疗
骨痛症状明显改善
小结
【成功之处】
统一战线,提高疗效:
对依从性较差的患者,不能放弃,反复宣教,联合家属共同管理
HP获益:1周1次规范化组合型治疗模式,能全面清除各种尿毒症毒素,改善透析并发症,成为终末期肾衰患者主要的治疗模式
【不足之处】
介入较晚,难以逆转:
已经出现骨病
早期宣教不足:
建议从透析的更早期宣教充分透析方案
【上医】
透析患者的治疗中,要从日常管理宣教入手,早期宣教、充分透析
【中医】
如果已经出现上述症状,需要及时调整治疗方案,预防及延缓DRA的进展
【下医】
如果已经出现肾性骨病等情况,要积极避免致残、致死

故事从2010年开始
任性的郑大叔
不忌口、不限水、不规律服药的“三不”人员
No.1
主诉
维持血透10年余
多关节痛半年余,下肢疼痛伴行走困难
No.2
基本资料
男性,68岁,身高166cm,干体重62kg
No.3
现病史
20年前诊断为慢性肾小球肾炎,尿蛋白2+~4+
10年余前因浮肿、尿少,血肌酐1173umol/L,血液透析tiw每次4h
半年前出现腕关节、肩关节疼痛,下肢疼痛伴行走困难
No.4
既往史
高血压病10余年,血压最高达189/110mmHg,近1年来血压波动在93-110/56-75mmHg之间,常合并透中低血压,暂停降压药物。否认糖尿病病史。无抽烟、酗酒史。
No.5
体格检查
血压103/62mmHg
Tinel征(+) Phalen征(+) 心肺腹(-)
脊柱无压痛,双下肢不肿
No.6
血常规、生化、骨代谢指标
血常规
- WBC 4.68X109/L
- Hb 104g/L
- CRP 15.3mg/L
生化
- Cr 1173umol/L
- BUN 34.4mmol/L
- Ca 2.36mmol/L
- P 2.10mmol/L
- iPTH 25.42pmol/L
- β2-微球蛋白 58.7mg/L
No.7
X线
2


1


No.8
初步印象
老年男性,维持血透10年余
高β2-微球蛋白血症
腕关节、肩关节等多关节疼痛,下肢疼痛伴行走困难
问题
患者多关节及下肢疼痛的原因?
应对、治疗方案?
β2-MG与尿毒症
尿毒症患者的β2-MG显著升高,较正常人升高 20 倍甚至更高。
DRA(透析相关淀粉样变)是长期透析患者的一种严重并发症,是患者发生关节疼痛以及运动受限的主要原因,严重影响患者生存质量。
高β2-MG血症的临床表现
①腕管综合征
②破坏性脊柱关节病变
③囊性骨损害
DRA的诊断
诊断各型淀粉样变组织学检查是金标准。
对关节积液患者可行滑液抽吸术,对滑膜碎片做刚果红染色。
DRA 的诊断有赖于放射学改变和组织学检查。但是有创的组织学检查,临床上很难做到。
目前认为,如果患者出现5个表现包括:腕管综合征、多关节痛、板机指、破坏性脊柱关节病、骨囊肿等上述临床表现,病理诊断不是必须要做的。
No.9
诊断
1. 慢性肾脏病5期 维持血透 肾性贫血 高β2-微球蛋白血症 透析相关淀粉样变 (DRA) 高磷血症
2. 慢性肾小球肾炎
3. 高血压病3级 很高危
No.10
治疗方案
纠正贫血
透析
降压
罗沙司他 120mg tiw
降磷
碳酸镧
BHD 3次/周 4h/次
近1年来血压较低,已停用降压药
血液净化标准操作规程(2021版)
终末期肾脏疾病(尿毒症),特别是合并顽固性瘙痒、难治性高血压、高β2微球蛋白血症、继发性甲状旁腺功能亢进、周围神经病变等患者。每周1次HA树脂血液灌流器与血液透析器串联治疗2h,可显著提高维持性血液透析患者的血清iPTH和β2微球蛋白的清除率,改善临床症状。
上海专家共识
血β2-MG持续>30mg/L,或合并腕管综合征等透析淀粉样变,建议应开始行HP治疗。
并发症 建议HP治疗频次
严重尿毒症相关皮肤瘙痒 每2周1或2次
严重尿毒症相关睡眠障碍 PSQI≥10分 每周1次;
5分<PSQI<10分 每2周1或2次
蛋白质能量消耗 每周1次
微炎症状态 每2周1或2次
严重继发性甲状旁腺功能亢进 每周1次
严重高β2-MG血症 每周1~3次
难治性高血压 每2周1或2次
不安腿综合征(RLS) 每周1次
尿毒症周围神经病变 每周1次
No.11
药物治疗
DRA治疗方案
血液灌流+血液透析
布洛芬1粒 bid
强的松 5mg qd
No.12
透析方案
BHD 2次/周,HP 1次/周(HA130)


低磷饮食
HA开始治疗
间断碳酸镧治疗
骨痛症状明显改善
小结
【成功之处】
统一战线,提高疗效:
对依从性较差的患者,不能放弃,反复宣教,联合家属共同管理
HP获益:1周1次规范化组合型治疗模式,能全面清除各种尿毒症毒素,改善透析并发症,成为终末期肾衰患者主要的治疗模式
【不足之处】
介入较晚,难以逆转:
已经出现骨病
早期宣教不足:
建议从透析的更早期宣教充分透析方案
【上医】
透析患者的治疗中,要从日常管理宣教入手,早期宣教、充分透析
【中医】
如果已经出现上述症状,需要及时调整治疗方案,预防及延缓DRA的进展
【下医】
如果已经出现肾性骨病等情况,要积极避免致残、致死


