双罐串联(HA330+HA230)治疗重度百草枯中毒一例
发布时间:2018-01-18
摘要
患者,女性,46岁,既往有抑郁症病史多年,因“口服百草枯100mL后2小时”在当地医院洗胃后为寻求进一步治疗入山东省某院急诊科,经过导泻、利尿、抗纤维化治疗、抗氧化治疗等支持治疗措施,同时使用“3-2-1-1”治疗模式进行血液灌流治疗,经过21天治疗后出院。

1.临床资料
主诉:口服百草枯100ml2小时。
现病史:患者入院前2小时口服百草枯100mL,当时有恶心呕吐,呕吐物为胃内容物,无血性液体,无面色口唇紫绀,无呼吸困难,无腹痛腹泻,无意识丧失,无二便失禁。立即被家人送往当地医院,给予清水洗胃,为寻求进一步治疗以“急性百草枯农药中毒”收治。
既往史:否认肝炎、结核、疟疾病史,抑郁症病史多年,具体治疗不详,否认糖尿病、脑血管疾病、精神疾病史,否认食物、药物过敏史,预防接种不详。有吸烟史、饮酒史。
体格检查:
入院查体:体温 37℃,呼吸,24次/分,脉搏 95次/分,血压123/76mmHg。 意识清楚,精神差,双肺呼吸音粗,未闻及干湿啰音,心律不齐,可闻及偶发早搏,腹平、软,无压痛及反跳痛,双下肢无水肿,双侧巴氏征(-)。
辅助检查:
血常规: 白细胞 13.4×10^9/L;中性粒细胞比85.6%;血小板186×10^9/L ;血红蛋白22g/L 。
血生化:血钾3.04mmol/L ;血钠123.3mmol/L ;血氯 84.4mmol/L 血肌酐86 ?mol/L;ALT(谷丙转氨酶) 21.7IU/L ;AST(谷草转氨酶) 32.5IU/L;尿液百草枯半定量检测>100ug/mL。

入院诊断:
1、急性百草枯中毒(重度)
2、抑郁症
迅速脱去患者身上衣物,用肥皂水反复彻底清洗
治疗经过:
入院后立即吸附剂导泻治疗:20%甘露醇250ml+药用炭30g分次口服,一天两次,直至粪便中排出药用炭,无蓝色百草枯为止,争取快速完成。
钝化治疗:20%甘露醇250ml+蒙脱石散30g分次口服,维持1~2天,至有蒙脱石散排出。
大剂量补液、利尿治疗:托拉塞米 20mg Q12H
自由基清除剂:还原型谷胱甘肽、依达拉奉
抗氧化剂:乙酰半胱氨酸、维生素C、维生素E
抗炎剂激素:甲泼尼龙 160mg Q8H ×3天,之后递减。
肺纤维化拮抗剂:普萘洛尔、维生素B1。
酶抑制剂:乌司他丁,20万U,Q8H。
对症治疗:保肝、护肾、保护胃黏膜。


治疗结果:
经治疗21天后患者出院,出院时患者一般情况可,无胸闷心慌,无呼吸困难,无四肢活动障碍,无意识障碍,饮食睡眠均可,大小便无异常。查体:神志清楚,精神可,双肺呼吸音清晰,未闻及干湿啰音,心律齐,未闻及病理性杂音,腹平、软,无压痛及反跳痛,双下肢无水肿,双侧巴氏征(-)辅助检查:血常规、尿常规、肝肾功能、电解质等生化,双肺CT,均未见明显异常。治疗期间患者各项指标及肺部CT变化如下:




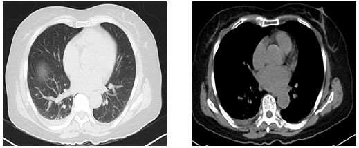
入院第4天双肺CT结果
提示:双肺间质改变,双侧胸腔积液
血气分析:氧分压65.8mmhg,氧饱和度90.9%,PH7.362

入院第7天双肺CT结果
提示:双肺间质改变,双侧胸腔积液,左肺下叶索条影
血气分析:氧分压63.4mmhg,氧饱和度93%,PH7.45

入院第14天双肺CT结果
提示:双肺CT未见明显异常
血气分析:氧分压85mmhg,氧饱和度95%,PH7.38
2、讨论
百草枯可经皮肤、呼吸道、消化道吸收进入人体,口服后在胃肠吸收率约为5%~10%,于吸收后1~4 h达到血浆浓度峰值,并经血液循环分布于肺、肝、肾、甲状腺、肌肉中,造成多器官系统功能损害,但主要累及肺,表现为急性肺泡炎和迅速进展的肺间质纤维化,是百草枯中毒死亡的主要原因[1]
血液净化是清除体内中毒物质的一种有效手段,应用于临床治疗急性百草枯中毒已有30多年历史,其疗效报道不一。在临床研究中,HP对百草枯的有效清除率约为60%[2]。
有报道,百草枯中毒后血液灌流开始的时间及血液灌流次数对患者预后有明瞳影响.血液灌流治疗开始越早其病死率越低[1],中毒早期血液中毒物及有害物质浓度高,血液灌流柱易吸附饱和,给予及时持续血液灌流可减少器官组织中毒物蓄积,减轻毒物对组织器官的损害,因此,早期每根柱子灌流时间短。随中毒时间的延长及治疗的进行,组织中的毒物及产生的有害物质释放逐渐减少。血液中的毒物浓度也逐渐降低,灌流柱吸附饱和时间延长,因此,以后每根柱子的灌流时间逐渐延长.所用灌流柱逐渐减少,但每天灌流时间均在5.0 h以上,即按“3-2-1-1灌流方案”给予治疗[3]。
该病例使用双罐串联治疗,提高了头几天血浆百草枯的清除效率,为后续治疗赢得了时间,有报道称双罐串联血浆灌流与单罐灌流相比明显提高血浆百草枯的清除速度,在相同的时间内可尽快清除体内的百草枯,减少百草枯在体内的存留时间,或可提高百草枯中毒患者的救治成功率[4]。
参考文献
[1]孙斌, 姜海明, 周国军,等. 血液灌流联合环磷酰胺救治百草枯中毒疗效观察[J]. 中国中西医结合急救杂志, 2010, 17(6):370-372.
[2]时红霞,孟广芹,刘晶.等.连续性静一静脉血液滤过联合血液灌流救治百草枯中毒.中国中西医结合急救杂志.2010,17(2):20一121.
[3]郭利涛, 王雪, 刘昱,等. 急性百草枯中毒的血液灌流联合甲泼尼龙的治疗[J]. 中华劳动卫生职业病杂志, 2011, 29(2):136-137.
[4]孙亮, 燕彭波, 李国锋,等. 双罐串联血浆灌流对血浆百草枯清除效果的研究[J]. 中国血液净化, 2013, 12(3):149-151.
摘要
患者,女性,46岁,既往有抑郁症病史多年,因“口服百草枯100mL后2小时”在当地医院洗胃后为寻求进一步治疗入山东省某院急诊科,经过导泻、利尿、抗纤维化治疗、抗氧化治疗等支持治疗措施,同时使用“3-2-1-1”治疗模式进行血液灌流治疗,经过21天治疗后出院。

1.临床资料
主诉:口服百草枯100ml2小时。
现病史:患者入院前2小时口服百草枯100mL,当时有恶心呕吐,呕吐物为胃内容物,无血性液体,无面色口唇紫绀,无呼吸困难,无腹痛腹泻,无意识丧失,无二便失禁。立即被家人送往当地医院,给予清水洗胃,为寻求进一步治疗以“急性百草枯农药中毒”收治。
既往史:否认肝炎、结核、疟疾病史,抑郁症病史多年,具体治疗不详,否认糖尿病、脑血管疾病、精神疾病史,否认食物、药物过敏史,预防接种不详。有吸烟史、饮酒史。
体格检查:
入院查体:体温 37℃,呼吸,24次/分,脉搏 95次/分,血压123/76mmHg。 意识清楚,精神差,双肺呼吸音粗,未闻及干湿啰音,心律不齐,可闻及偶发早搏,腹平、软,无压痛及反跳痛,双下肢无水肿,双侧巴氏征(-)。
辅助检查:
血常规: 白细胞 13.4×10^9/L;中性粒细胞比85.6%;血小板186×10^9/L ;血红蛋白22g/L 。
血生化:血钾3.04mmol/L ;血钠123.3mmol/L ;血氯 84.4mmol/L 血肌酐86 ?mol/L;ALT(谷丙转氨酶) 21.7IU/L ;AST(谷草转氨酶) 32.5IU/L;尿液百草枯半定量检测>100ug/mL。
入院诊断:
1、急性百草枯中毒(重度)
2、抑郁症
迅速脱去患者身上衣物,用肥皂水反复彻底清洗
治疗经过:
入院后立即吸附剂导泻治疗:20%甘露醇250ml+药用炭30g分次口服,一天两次,直至粪便中排出药用炭,无蓝色百草枯为止,争取快速完成。
钝化治疗:20%甘露醇250ml+蒙脱石散30g分次口服,维持1~2天,至有蒙脱石散排出。
大剂量补液、利尿治疗:托拉塞米 20mg Q12H
自由基清除剂:还原型谷胱甘肽、依达拉奉
抗氧化剂:乙酰半胱氨酸、维生素C、维生素E
抗炎剂激素:甲泼尼龙 160mg Q8H ×3天,之后递减。
肺纤维化拮抗剂:普萘洛尔、维生素B1。
酶抑制剂:乌司他丁,20万U,Q8H。
对症治疗:保肝、护肾、保护胃黏膜。

治疗结果:
经治疗21天后患者出院,出院时患者一般情况可,无胸闷心慌,无呼吸困难,无四肢活动障碍,无意识障碍,饮食睡眠均可,大小便无异常。查体:神志清楚,精神可,双肺呼吸音清晰,未闻及干湿啰音,心律齐,未闻及病理性杂音,腹平、软,无压痛及反跳痛,双下肢无水肿,双侧巴氏征(-)辅助检查:血常规、尿常规、肝肾功能、电解质等生化,双肺CT,均未见明显异常。治疗期间患者各项指标及肺部CT变化如下:
入院第4天双肺CT结果
提示:双肺间质改变,双侧胸腔积液
血气分析:氧分压65.8mmhg,氧饱和度90.9%,PH7.362
入院第7天双肺CT结果
提示:双肺间质改变,双侧胸腔积液,左肺下叶索条影
血气分析:氧分压63.4mmhg,氧饱和度93%,PH7.45
入院第14天双肺CT结果
提示:双肺CT未见明显异常
血气分析:氧分压85mmhg,氧饱和度95%,PH7.38
2、讨论
百草枯可经皮肤、呼吸道、消化道吸收进入人体,口服后在胃肠吸收率约为5%~10%,于吸收后1~4 h达到血浆浓度峰值,并经血液循环分布于肺、肝、肾、甲状腺、肌肉中,造成多器官系统功能损害,但主要累及肺,表现为急性肺泡炎和迅速进展的肺间质纤维化,是百草枯中毒死亡的主要原因[1]
血液净化是清除体内中毒物质的一种有效手段,应用于临床治疗急性百草枯中毒已有30多年历史,其疗效报道不一。在临床研究中,HP对百草枯的有效清除率约为60%[2]。
有报道,百草枯中毒后血液灌流开始的时间及血液灌流次数对患者预后有明瞳影响.血液灌流治疗开始越早其病死率越低[1],中毒早期血液中毒物及有害物质浓度高,血液灌流柱易吸附饱和,给予及时持续血液灌流可减少器官组织中毒物蓄积,减轻毒物对组织器官的损害,因此,早期每根柱子灌流时间短。随中毒时间的延长及治疗的进行,组织中的毒物及产生的有害物质释放逐渐减少。血液中的毒物浓度也逐渐降低,灌流柱吸附饱和时间延长,因此,以后每根柱子的灌流时间逐渐延长.所用灌流柱逐渐减少,但每天灌流时间均在5.0 h以上,即按“3-2-1-1灌流方案”给予治疗[3]。
该病例使用双罐串联治疗,提高了头几天血浆百草枯的清除效率,为后续治疗赢得了时间,有报道称双罐串联血浆灌流与单罐灌流相比明显提高血浆百草枯的清除速度,在相同的时间内可尽快清除体内的百草枯,减少百草枯在体内的存留时间,或可提高百草枯中毒患者的救治成功率[4]。
参考文献
[1]孙斌, 姜海明, 周国军,等. 血液灌流联合环磷酰胺救治百草枯中毒疗效观察[J]. 中国中西医结合急救杂志, 2010, 17(6):370-372.
[2]时红霞,孟广芹,刘晶.等.连续性静一静脉血液滤过联合血液灌流救治百草枯中毒.中国中西医结合急救杂志.2010,17(2):20一121.
[3]郭利涛, 王雪, 刘昱,等. 急性百草枯中毒的血液灌流联合甲泼尼龙的治疗[J]. 中华劳动卫生职业病杂志, 2011, 29(2):136-137.
[4]孙亮, 燕彭波, 李国锋,等. 双罐串联血浆灌流对血浆百草枯清除效果的研究[J]. 中国血液净化, 2013, 12(3):149-151.


