【大咖论】Ronco:Nephrotoxicity and Chinese Herbal Medicine-中草药与肾毒性
发布时间:2019-01-25
背景阅读
长久以来,对中草药的合理使用存在两种误解:谨慎与非谨慎。一个常见的谬论是,使用这些药物的大多数人认为它们是“天然的、绿色的、无毒的”。另一方面,中药使用的天然化合物具有相对复杂的活性成分,有不同程度的副作用。中药已出口到175多个国家和地区,到底如何理解中药与肾毒性?国际肾病研究院主席,国际肾病协会前主席Ronco教授在最新发布的一篇文章中进行了充分讨论。

根据世界卫生组织报道,传统医学在高达75%-80%的世界人口,尤其是在发展中国家中,作为主要医疗手段或补充手段。几千年来,传统医学包括中医,已经在预防、治疗和治愈多种疾病。中草药是中药的重要组成部分,作为替代疗法的一种来源,已在世界各地流行。因此,中草药的使用正在全球化和扩大化。毒性报告显示这些化合物可能会导致不良反应,其中一些中草药已知会引起肾毒性,但由于医生和患者往往相信中草药是无害的,因而忽视了这一点。本文将集中讨论中药的肾毒性。

图1.草药相关的导致肾脏疾病发展的因素

图2. 马兜铃酸的分子结构
一
与肾毒性有关的中草药
中草药的主要肾毒性成分是马兜铃酸和生物碱化合物。马兜铃酸是一种致癌、诱变、肾毒性植物化学物质,主要来源于马兜铃属植物。肾毒性生物碱来源于雷公藤、粉防己、马钱子、乌头等。此外,中草药可能含有蒽醌、类黄酮和具有肾毒性的糖苷。表1列出了已知含有马兜铃酸、生物碱和其他肾毒性成分的中草药清单。

二
中草药肾毒性的表现
与中草药相关的肾毒性包括AKI、CKD、肾结石、横纹肌溶解症、范可尼综合征和尿路上皮癌。

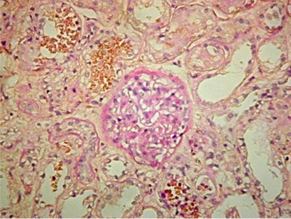
图3.一例口服柏木热水提取物后急性肾损伤的组织学图片
三
与中药肾毒性相关的影响因素
一个有趣的观察是,并非所有人使用中药后会患上AKI或CKD,还有几个因素可能导致这些化合物的终极肾毒性:
1.草药的内在毒性和潜在有毒化合物的不正确鉴定
2.不正确的加工/储存和掺假
3.重金属污染
有一个典型病例,1990年至1992年,超过100名的比利时和法国妇女在服用了含有中草药的减肥方案后,广泛地出现了肾脏间质纤维化。通过对这些患者的调查发现,药片中所含的一味草药粉防己(又称汉防己,Stephania tetrandra)在无意中被广防己(Aristolochia fangchi)替换,而广防己中含有非常高水平的马兜铃酸。关木通(Caulis aristolochiae manshuriensis)中也含有马兜铃酸,在一个中药配方中不经意间被此木通科(Lardizabalacene)植物替代也引起了患者的肾中毒。这些类型的错误通常是由经验不足的草药师或者未使用当代分析技术来确认安全性时所犯下。
四
预防方法
肾病学家都应该被鼓励了解除处方药以外的补充剂的详细历史,包括(但不限于)中草药。有效治疗的首要原则是预防毒性。

综上所述
目前还不清楚具有肾脏损害性的中草药造成肾损伤的确切发生率。这是一个未被充分认识和报道的造成肾毒性的原因。中草药在中国乃至全世界都一直在发挥并且将继续发挥着重要作用。提高全球意识,将系统性毒素研究、监督、严格的质量控制标准,定期地用在传统的药物中是至关重要的。
阅读原文:
《 Clinical journal of American society of nephrology》
链接:https://cjasn.asnjournals.org/content/13/10/1605.long
背景阅读
长久以来,对中草药的合理使用存在两种误解:谨慎与非谨慎。一个常见的谬论是,使用这些药物的大多数人认为它们是“天然的、绿色的、无毒的”。另一方面,中药使用的天然化合物具有相对复杂的活性成分,有不同程度的副作用。中药已出口到175多个国家和地区,到底如何理解中药与肾毒性?国际肾病研究院主席,国际肾病协会前主席Ronco教授在最新发布的一篇文章中进行了充分讨论。

根据世界卫生组织报道,传统医学在高达75%-80%的世界人口,尤其是在发展中国家中,作为主要医疗手段或补充手段。几千年来,传统医学包括中医,已经在预防、治疗和治愈多种疾病。中草药是中药的重要组成部分,作为替代疗法的一种来源,已在世界各地流行。因此,中草药的使用正在全球化和扩大化。毒性报告显示这些化合物可能会导致不良反应,其中一些中草药已知会引起肾毒性,但由于医生和患者往往相信中草药是无害的,因而忽视了这一点。本文将集中讨论中药的肾毒性。

图1.草药相关的导致肾脏疾病发展的因素

图2. 马兜铃酸的分子结构
一
与肾毒性有关的中草药
中草药的主要肾毒性成分是马兜铃酸和生物碱化合物。马兜铃酸是一种致癌、诱变、肾毒性植物化学物质,主要来源于马兜铃属植物。肾毒性生物碱来源于雷公藤、粉防己、马钱子、乌头等。此外,中草药可能含有蒽醌、类黄酮和具有肾毒性的糖苷。表1列出了已知含有马兜铃酸、生物碱和其他肾毒性成分的中草药清单。

二
中草药肾毒性的表现
与中草药相关的肾毒性包括AKI、CKD、肾结石、横纹肌溶解症、范可尼综合征和尿路上皮癌。

图3.一例口服柏木热水提取物后急性肾损伤的组织学图片
三
与中药肾毒性相关的影响因素
一个有趣的观察是,并非所有人使用中药后会患上AKI或CKD,还有几个因素可能导致这些化合物的终极肾毒性:
1.草药的内在毒性和潜在有毒化合物的不正确鉴定
2.不正确的加工/储存和掺假
3.重金属污染
有一个典型病例,1990年至1992年,超过100名的比利时和法国妇女在服用了含有中草药的减肥方案后,广泛地出现了肾脏间质纤维化。通过对这些患者的调查发现,药片中所含的一味草药粉防己(又称汉防己,Stephania tetrandra)在无意中被广防己(Aristolochia fangchi)替换,而广防己中含有非常高水平的马兜铃酸。关木通(Caulis aristolochiae manshuriensis)中也含有马兜铃酸,在一个中药配方中不经意间被此木通科(Lardizabalacene)植物替代也引起了患者的肾中毒。这些类型的错误通常是由经验不足的草药师或者未使用当代分析技术来确认安全性时所犯下。
四
预防方法
肾病学家都应该被鼓励了解除处方药以外的补充剂的详细历史,包括(但不限于)中草药。有效治疗的首要原则是预防毒性。

综上所述
目前还不清楚具有肾脏损害性的中草药造成肾损伤的确切发生率。这是一个未被充分认识和报道的造成肾毒性的原因。中草药在中国乃至全世界都一直在发挥并且将继续发挥着重要作用。提高全球意识,将系统性毒素研究、监督、严格的质量控制标准,定期地用在传统的药物中是至关重要的。
阅读原文:
《 Clinical journal of American society of nephrology》
链接:https://cjasn.asnjournals.org/content/13/10/1605.long
