血液灌流救治百草枯中毒病例
发布时间:2016-09-29
发布时间:2013-08-12
病例描述:
患者男,24岁,4小时前与家人争吵后,自服百草枯约40ml,感口腔疼痛,恶心,呕吐胃内容物,手指及口唇周围发绿,全身不适,家人发现后立即送当地医院洗胃处理,患者仍有恶心,呕吐,轻微胸闷,拟诊“百草枯中毒”急诊收入。病后患者精神、睡眠、食欲不佳,大便黄,尿液量色如常,体力显著下降,体重无明显改变。既往体健。
体格检查:
T:36.5 ℃; P:112 次/分 ;R:20 次/分; BP:129/64 mmHg;SPO2 88%(未吸氧)。
发育正常,营养中等,自主体位,神清合作,对答切题,急性痛苦病容,全身皮肤黏膜及巩膜未见黄染,手指及口唇发绿,未见出血点,眼睑无浮肿,口腔可见散在破溃,颈软,颈静脉无充盈,双肺未闻及干、湿性罗音,心界未见扩大,心率112 次/分,腹部平坦,腹壁软,无压痛及反跳痛,移动性浊音阳性,肝脾肋缘下未扪及,双肾区无叩击痛,双下肢无水肿,未引出病理反射。
入院急查检查资料
2012-03-12
血分析:WBC 14.5 G/L;N 79.6%;L 11.4%;HGB 146g/L;PLT 116 G/L。
尿分析:比重1.020;PH 6.0;蛋白阴性;糖阴性;尿红细胞3/HP ;白细胞阴性。
电解质:K+ 3.79 mmol/L;Na+140.9 mmol/L; Cl- 106mmol/L;Ca2+ 2.19 mmol/L。
肝功能:ALT 86 IU/L;AST 94 IU/L;GGT 32 IU/ L;Alb 47.1g/L;Glo 15.9 g/L;TBil 20.7umol/L;UCBil 17.9 umol/L;CBil 2.8 umol/L。
肾功能:urea 13.05mmol/L;Cr 98 umol/L;TG 2.46 mmol/L;Chol 10.35mmol/L;Glu 13.11mmoL/L。
心肌酶、肌钙蛋白正常。
急查检查结果:
动脉血气分析:pH 7.219;PaCO2 36 mmHg;PaO2 69 mmHg, HCO3- 14mmol/L;BE -9.8mmol/L;SPO2 88%。
凝血功能:PT 13秒;APTT 35秒;TT 16秒;Fbg 8.1g/L,;D-二聚体阴性。
心电图窦性心动过速、肢导联低电压。
床旁胸片肺部纹理增多。
彩超:双肾大小正常,回声正常,心脏舒张功能受限,EF 66%,肝胆脾未见异常,门脉不宽
入院诊断:
1. 急性肾损伤
2. 重度
百草枯中毒
3.急性肺损伤:低氧血症 ARDS
4.多器官功能不全综合征
诊治经过:
因患者血氧饱和度偏低,入院后立即告病危,心电监护,特别嘱托护士不予以吸氧
立即予以静注地塞米松10mg,同时谈话签字,中心静脉置管及
血液灌流
抑酸护胃处理,防治消化道出血
排毒:思密达、爱西特口服吸附余毒,甘露醇、大黄胶囊口服导泻排毒

胸片1
采用健帆
HA330树脂灌流器
血液灌流
,每次2小时
每天3-4次,间隔1-2小时
监测血小板及出血、过敏情况
辅助治疗:
补充还原剂抗氧化:还原性谷胱甘肽、依达拉奉注射液、维生素C、大剂量肌苷,20%甘露醇125ml
防治肺损伤:心得安10mg 3/日,N-乙酰半胱氨酸 0.2,3/日
综合护肾治疗:肾康注射液
营养支持治疗、呼吸科会诊处理
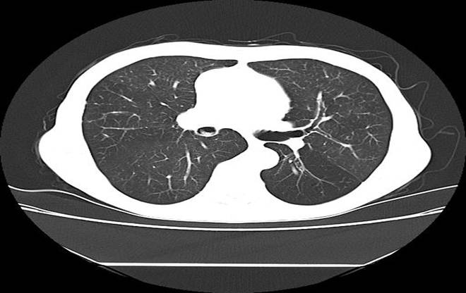
胸部SCT
病情变化:
积极抢救治疗3天,患者胸闷逐渐缓解。
监测血气分析低氧血症逐渐缓解
患者口腔破溃逐渐恢复
住院2周后出院,停用激素
出院前复查胸部X线明显好转
随访半年患者已康复
出院前复查胸部SCT
治疗体会:
早期胃肠道净化:口服思密达、药用炭、甘露醇、大黄排毒胶囊(十堰市太和医院肾内科科自行研制)
早期血液净化:最快速度落实连续间断
灌流
、血液透析,MODS时行CRRT
早期抗氧化:充分补充还原剂减少毒性氧自由基产生
早期抗肺纤维化:心得安竞争、糖皮质激素短期足量应用
尽量不吸氧 :吸氧可使氧自由基产生增加,除非严重低氧血症(PaO2低于40mmHg)
病例描述:
患者男,24岁,4小时前与家人争吵后,自服百草枯约40ml,感口腔疼痛,恶心,呕吐胃内容物,手指及口唇周围发绿,全身不适,家人发现后立即送当地医院洗胃处理,患者仍有恶心,呕吐,轻微胸闷,拟诊“百草枯中毒”急诊收入。病后患者精神、睡眠、食欲不佳,大便黄,尿液量色如常,体力显著下降,体重无明显改变。既往体健。
体格检查:
T:36.5 ℃; P:112 次/分 ;R:20 次/分; BP:129/64 mmHg;SPO2 88%(未吸氧)。
发育正常,营养中等,自主体位,神清合作,对答切题,急性痛苦病容,全身皮肤黏膜及巩膜未见黄染,手指及口唇发绿,未见出血点,眼睑无浮肿,口腔可见散在破溃,颈软,颈静脉无充盈,双肺未闻及干、湿性罗音,心界未见扩大,心率112 次/分,腹部平坦,腹壁软,无压痛及反跳痛,移动性浊音阳性,肝脾肋缘下未扪及,双肾区无叩击痛,双下肢无水肿,未引出病理反射。
入院急查检查资料
2012-03-12
血分析:WBC 14.5 G/L;N 79.6%;L 11.4%;HGB 146g/L;PLT 116 G/L。
尿分析:比重1.020;PH 6.0;蛋白阴性;糖阴性;尿红细胞3/HP ;白细胞阴性。
电解质:K+ 3.79 mmol/L;Na+140.9 mmol/L; Cl- 106mmol/L;Ca2+ 2.19 mmol/L。
肝功能:ALT 86 IU/L;AST 94 IU/L;GGT 32 IU/ L;Alb 47.1g/L;Glo 15.9 g/L;TBil 20.7umol/L;UCBil 17.9 umol/L;CBil 2.8 umol/L。
肾功能:urea 13.05mmol/L;Cr 98 umol/L;TG 2.46 mmol/L;Chol 10.35mmol/L;Glu 13.11mmoL/L。
心肌酶、肌钙蛋白正常。
急查检查结果:
动脉血气分析:pH 7.219;PaCO2 36 mmHg;PaO2 69 mmHg, HCO3- 14mmol/L;BE -9.8mmol/L;SPO2 88%。
凝血功能:PT 13秒;APTT 35秒;TT 16秒;Fbg 8.1g/L,;D-二聚体阴性。
心电图窦性心动过速、肢导联低电压。
床旁胸片肺部纹理增多。
彩超:双肾大小正常,回声正常,心脏舒张功能受限,EF 66%,肝胆脾未见异常,门脉不宽
入院诊断:
1. 急性肾损伤
2. 重度
百草枯中毒
3.急性肺损伤:低氧血症 ARDS
4.多器官功能不全综合征
诊治经过:
因患者血氧饱和度偏低,入院后立即告病危,心电监护,特别嘱托护士不予以吸氧
立即予以静注地塞米松10mg,同时谈话签字,中心静脉置管及
血液灌流
抑酸护胃处理,防治消化道出血
排毒:思密达、爱西特口服吸附余毒,甘露醇、大黄胶囊口服导泻排毒

胸片1
采用健帆
HA330树脂灌流器
血液灌流
,每次2小时
每天3-4次,间隔1-2小时
监测血小板及出血、过敏情况
辅助治疗:
补充还原剂抗氧化:还原性谷胱甘肽、依达拉奉注射液、维生素C、大剂量肌苷,20%甘露醇125ml
防治肺损伤:心得安10mg 3/日,N-乙酰半胱氨酸 0.2,3/日
综合护肾治疗:肾康注射液
营养支持治疗、呼吸科会诊处理
胸部SCT
病情变化:
积极抢救治疗3天,患者胸闷逐渐缓解。
监测血气分析低氧血症逐渐缓解
患者口腔破溃逐渐恢复
住院2周后出院,停用激素
出院前复查胸部X线明显好转
随访半年患者已康复
出院前复查胸部SCT
治疗体会:
早期胃肠道净化:口服思密达、药用炭、甘露醇、大黄排毒胶囊(十堰市太和医院肾内科科自行研制)
早期血液净化:最快速度落实连续间断
灌流
、血液透析,MODS时行CRRT
早期抗氧化:充分补充还原剂减少毒性氧自由基产生
早期抗肺纤维化:心得安竞争、糖皮质激素短期足量应用
尽量不吸氧 :吸氧可使氧自由基产生增加,除非严重低氧血症(PaO2低于40mmHg)
